日期 : 14 Mar 25

全台民眾「視力保健行為大調查」結果出爐:8成民眾曾因錯誤度數感到不適 多數民眾配鏡「不求快、但求準」

健康中心/綜合報導 近年來,科技快速進展,現代人在工作和學業上無不數位化,智慧型裝置越來越精細、講求...

閱讀更多

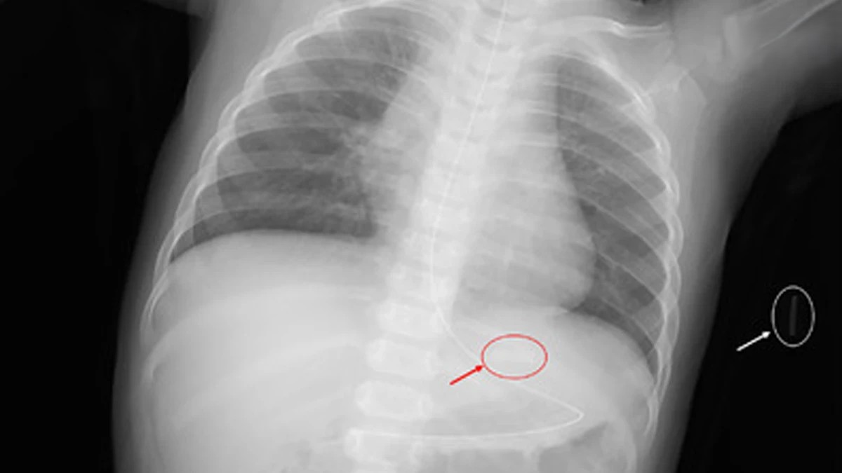
危機暗藏 國際加熱菸傷童案例頻傳 台灣審查機制亟待完善

健康中心/綜合報導 加熱菸審查結果即將出爐,未來可能在台灣「合法上市」,然而國際間已傳出多起兒童誤食...

閱讀更多

巔峰藝術盛宴《威廉.透納特展》近百幅真跡6月震撼登台

藝文中心/綜合報導 又一檔!最高規格西洋藝術展重磅來台。藝術界又傳來令人興奮的大消息,暨去年台南的英...

閱讀更多